Temporallappen

Introduktion
De overordnede funktioner i temporallaperne er relateret til hukommelse, herunder specielt processering af sprog i den sprogdominante hemisfære og visuel processering i den modsatte hemisfære.
Antatomi
Overflade anatomi





Temporallappen er afgrænset opad til mod lateral fissuren (fissura Sylvii), posteriort mod occipitallappen, postero superiort mod parietallappen, inferiort mod gulvet af fossa crani media, og medialt mod de præpontine cisterne og mod hjernestammen posteriort (Fig. 1). Den mesiale del af temporallappen er beskrevet mere i detaljer i siden om Hippocampus. Husk at gyri og sulci er "koncepter", de er ikke altid kontinuerlige, en gyrus kan således krydses af en sulci og stadig være den samme på den anden side af den pågældende sulci, eller splittes i to parallelle som tilsammen udgør en navngiven sulci. I figurene til høje er angivet såvel de normale gyrus navne, som de mere enkle T1-T5, T6 udgøres af hippocampus.
Lateralsiden
Lateralsiden af temporallappen udgøres af tre gyri adskilt af to sulci (Fig. 2). Gyrus superior (T1) og gyrus medius (T2) adskilles af sulcus superior, mens gyrus medius og gyrus inferior (T3) adskilles af sulcus inferior.
Inferior fladen
Den inferiore flade af temporallappen hviler på gulvet af fossa crani media, udgøres af 3 gyri adskilt af to sulci (Fig. 3). Den mest lateral gyrus er gyrus inferior (T3) som er afskilt fra gyrus fusiforme (T4) af en inkomplet sulcus occipito-temporale. Gyrus fusiforme kaldes også gyrus occipito-temporale. Gyrus fusiforme (T4) er adskilt fra gyrus parahippocampale (T5) af sulcus colatteralis. Dybden af sulcus colatteralis prominere ind i temporalhornet af lateralventriklen som prominentia colatteralis.
Superior fladen
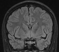
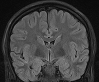
Den superiore flade af temporallappen grænser op mod Insula inferiore halvdel. Den forreste del af denne flade er konkav (planum polare) og matcher den anteriore inferiore konvekse form af Insula, mens den posteriore supriore flade en med plan (planum temporale). Denne forskel kan tydligt erkendes på coronale MR-skanningssnit (Fig. 5+6). Overgangen mellem den konkave og den plane den af temporallappens superiore flade markere lokalisationen af Heschel's gyrus. Heschel's gyrus har et skråt forløb fra antero-lateralt til postero-medialt. Lateralt findes Heschel's gyrus lige overfor gyrus postcentral i parietallappen adskilt af lateralfissuren. Følges Heschel's gyrus medialt posteriort peger den mod atrium af ventrikelsystem lige posteriort for thalamus (Fig. 4).
Mesial fladen
Den mesiale flade af temporallappen er en konkav flade som omgrænser hjernestammen, forrest bestående af uncus indeholdende Amygdala, posteriort herfor hippocampus, og længere posteriort også gyrus parahippocampale.
Vaskulær anatomi
A. cerebri media


A. Cerebri media (ACM) forsyner den superiore og den laterale flade af temporallappen, samt den laterale del af den inferior flade. ACM inddeles i segmenter fra M1 (medias hovedstamme) til M4 perifert. M4 grene af media løber over lateralfladen af temporallappen fra M3 grene i lateralfissuren henover T1 videre til T2 og videre til T3 (Fig. 7). Det er derfor essentielt at beskytte M4 grenene eksempelvis ved operation i gyrus superior (T1) for at undgå iskæmsike skader i T2 og T3. Når lateral fissuren spaltes møde man først M3 grene af a. cerebri media som stiger op gennem lateral fissuren fra M2 grene der forløber på Insulas overflade. Følges disse anteriort når man til deres oprindelse fra M1 = medias hovedstamme, hvor overgangen fra M1 til M2 er beliggende svarende til Limen Insula.
A. Cerebri posterior
A.cerebri posterior (ACP) forsyner den mediale del af den inferiore plade og den mesiale flade af temporallappen. A. cerebri posterior er den terminale forgrening af a. basilaris hvor P1 stykket forløber fra basilaris toppen til det punkt hvor a. communicans posterior forbinder ACP med a. carotis. Dette sted markere overgangen til P2-stykket, som forløber rundt om lateralsiden af hjernestammen. Fra P1-sykket, altså foran hjernestammen afgår a.choroidea media posterior som herefter forløber rundt om hjernestammen medialt for P-2 & P3-stykket. Den posterior mediale a. choroidea i sit forløb grene til hjernestammen, samt forsyner plexus choroideus i III. ventrikel og del af lateral ventriklen. Endvidere afgår de thalamostriate grene fra ACM ligeledes fra P1-stykket og løber ind i hjernen gennem substantia perforata posterior. Endvidere afgives grene til tectum, tegmentum og den cerebrale pedunkel. P2 afgiver grene der forsyner den inferior og den mesiale flade af temporallappen. P3 grene udgøres af a.calcarina og parieto-occipitalis. A. calcarina forløber i en stor del af sit forløb i sulcus calcarinus. P2 afgiver også a. choroidea postrior lateralis som udover at forsyne plexus choroideus i lateral ventriklen også kan forsyne dele af den cerebrale pedunkel, dele af crura of corpus af fornix, corpus geniculatum laterale, pulvinar, nucleus dorsomedialis af thalamus og corpus af nucleus caudatus. Læsion af ACP og dennes grene er således en potentiel risiko ved kirurgi sv.t. den inferior temporallap posteriort eller i cisterna ambiens.
Venøs drænage


Den venøse drænage udgør i vid udstrækning et anastomoserende netværk med betydelig individuel variation i størrelse og forbindelse mellem de enkelte dræneringsveje. De tre hoved dræneringsveje er mesialt via basal vein of Rosenthal som bag hjernestammen drænerer til v. Galeni og videre til sinus rectus. Anteriort via sylvian veins som drænerer til sinus sphenoparietale (via hvad der ofte kaldes lateral fissurens brovener). Lateralt dræneres til tentoriegruppen af vener hvor af den største ofte er v. Labbé. Disse tre drænerings netværk anastomosere, og ingen af disse er a priori uden risici at dele. Så der gælde samme mantra for venres som for arterier, de skal i videst mulige omfang bevares med mindre det kirurgisk mål er at fjerne hele deres forsynings og dræningsområde, som eksempelvis ved lobektomier.
Videoer
{{#ev:youtube|1N-4NViGVIY&feature=relmfu|600|left|44 minutter foredrag med Rhawn Joseph}}
Kilder
Rhoton AL. The Cerebrum. Neurosurgery 51[Suppl 1]:1–51, 2002 Rhoton AL. The supratentorial arteries.Neurosurgery 51[Suppl 1]:53–120, 2002 Rhoton AL. The cerebral veins. Neurosurgery 51[Suppl 1]:159–205, 2002
--Jannick Brennum 4. maj 2014, 07:40 (UTC)--