Temporallappen

Introduktion
De overordnede funktioner i temporallaperne er relateret til hukommelse, herunder specielt processering af sprog i den sprogdominante hemisfære og visuel processering i den modsatte hemisfære.





Antatomi
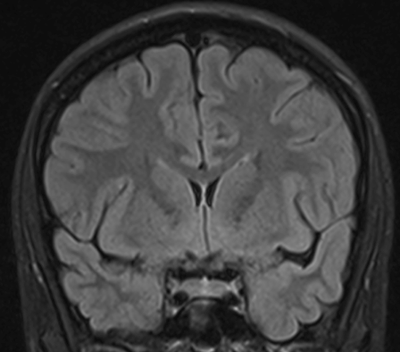
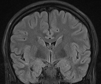
Temporallappen er afgrænset opad til mod lateral fissuren (fissura Sylvii), posteriort mod occipitallappen, postero superiort mod parietallappen, inferiort mod gulvet af fossa crani media, og medialt mod de præpontine cisterne og mod hjernestammen posteriort. Den mesiale del af temporallappen er beskrevet mere i detaljer i siden om Hippocampus. Husk at gyri og sulci er "koncepter", de er ikke altid kontinuerlige, en gyrus kan således krydses af en sulci og stadig være den samme på den anden side af den pågældende sulci, eller splittes i to parallelle som tilsammen udgør en navngiven sulci. I figurene til høje er angivet såvel de normale gyrus navne, som de mere enkle T1-T5, T6 udgøres af hippocampus. Lateralsiden af temporallappen udgøres af tre gyri adskilt af to sulci. Gyrus superior (T1) og gyrus medius (T2) adskilles af sulcus superior, mens gyrus medius og gyrus inferior adskilles af sulcus inferior. Den inferior flade af temporallappen, som hviler på gulvet af fossa crani media, udgøres af 3 gyri adskilt af to sulci. Den mest lateral gyrus er gyrus inferior (T3) som er afskilt fra gyrus fusiforme (T4) af en inkomplet sulcus occipito-temporale, mens gyrus fusiforme (T4) er adskilt fra gyrus parahippocampale (T5) af sulcus colatteralis. Dybden af sulcus colatteralis prominere ind i temporalhornet af lateralventriklen som prominentia colatteralis. Den superiore flade af temporallappen grænser op mod Insula inferiore halvdel. Den forreste del af denne flade er konkav og matcher den anteriore inferiore konvekse form af Insula, mens den posteriore supriore flade en med plan. Denne forskel kan tydligt erkendes på coronale MR-skanningssnit. Overgangen mellem den konkave og den plane den af temporallappens superiore flade markere lokalisationen af Heschel's gyrus. Heschel's gyrus har et skråt forløb fra antero-lateralt til postero-medialt. Lateralt findes Heschel's gyrus lige overfor gyrus postcentral i parietallappen adskilt af lateralfissuren. Følges Heschel's gyrus medialt posteriort peger den mod antrum af ventrikelsystem lige posteriort for thalamus. Den mesiale flade af temporallappen er en konkav flade som omgrænser hjernestammen.
Forbindelser
Funktion
Deficits
Videoer
{{#ev:youtube|1N-4NViGVIY&feature=relmfu|600|left|44 minutter foredrag med Rhawn Joseph}}
--Jannick Brennum 3. maj 2014